
Okužbe so pri piercingih redke. V primeru, da do njih pride, je možna potreba po dodatnem zdravljenju, ki vključuje antibiotično zdravljenje. Pomembno je predvsem, da okužbo zgodaj prepoznamo in hitro ukrepamo. Včasih je dovolj prilagoditi način čiščenja. Zdravljenje okužbe naj presoja zdravnik.

Čeprav po posegu pričakujemo hitro/dobro celjenje ran, se lahko pojavijo brazgotine, ki so lahko neestetske in imajo drugačno barvo od kože, ki jo obdaja. Izgled brazgotine se lahko razlikuje tudi na isti brazgotini. Pogostejše so manjše izboklinice tik ob nakitu, ki pa so posledica mehanskega draženja in se jih običajno hitro znebimo z uporabo silikonskih diskov in razbremenitvijo.

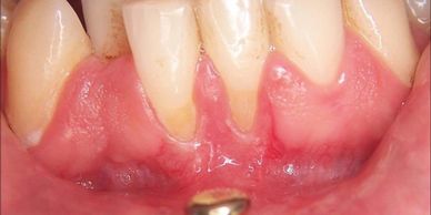
Znižanje dlesni nastopi zaradi drsanja nakita na področju med zobom in dlesnijo. Nastaja postopoma in se običajno pojavlja pri prebadanju ustnice. Nakit je priporočljivo namestiti v višini samih zob ali nižje na področje dlesni. Lahko se pripeti, da ugriznemo v del nakita in si tako poškodujemo zobe. Takoj ko uplahne oteklina je nakit priporočljivo zamenjati.

Nakit deluje kot tujek, zato telo včasih prekomerno odreagira in povzroči, da se nakit pomika proti površju kože. Sčasoma ga telo lahko popolnoma izloči.

Med vsakim posegom in tudi po njem je možna manjša krvavitev. Nekatera zdravila in pripravki vplivajo na proces strjevanja krvi, zato je njihovo uporabo potrebno pred posegom prekiniti.

Po izvedbi piercinga se lahko pojavijo modrice in otekline. Koža lahko postane svetlejša ali temnejša od ostale kože. Običajno pomaga hlajenje. Vstaviti je potrebno primerno velik nakit.